Case of the Week
- Elizabeth Montgomery, MD
- 2 days ago
- 1 min read
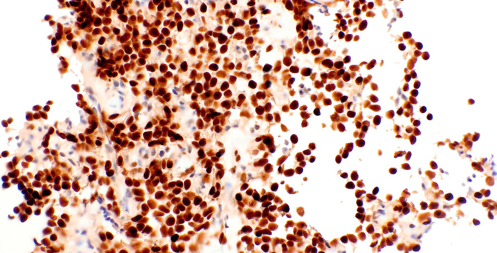
A needle biopsy of this pancreatic solid pseudopapillary neoplasm was labeled "gastric mass". We initially tried to make it into a neuroendocrine tumor.... Sometimes the needle is not where it is believed to be. LEF1 is a nice clean nuclear stain and easier to interpret than beta catenin.
Case by Dr. Elizabeth Montgomery, Clinical Professor, Vice Chair of Faculty Development & Mentoring, Director of Surgical Pathology Fellowship Training Program, Co-Director, Pathology Reference Services, and Editor-In-Chief at Innovative Science Press.
You can check out our titles at:
1-703-350-4308/703-340-3198









Comments