top of page

Brain Teasers
Search


Case of the Week
Pleomorphic hyalinizing angiectatic tumor was described years ago and is usually indolent; rare progression to high grade sarcoma is known. Smith ME, Fisher C, Weiss SW. Pleomorphic hyalinizing angiectatic tumor of soft parts. A low-grade neoplasm resembling neurilemoma. Am J Surg Pathol. 1996 Jan;20(1):21-9. PMID: 8540605. Case by Dr. Elizabeth Montgomery, Clinical Professor, Vice Chair of Faculty Development & Mentoring, Director of Surgical Pathology Fellowship Training Pr
Dec 12, 20251 min read


Case of the Week
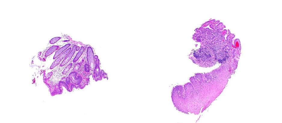
A fragment of a colorectal tubular adenoma ended up in with a sample from the esophagus and was diagnosed as low-grade dysplasia in Barrett mucosa. Indeed the adenoma has low-grade dysplasia but the quality of the mucin is all wrong. Case by Dr. Elizabeth Montgomery, Clinical Professor, Vice Chair of Faculty Development & Mentoring, Director of Surgical Pathology Fellowship Training Program, Co-Director, Pathology Reference Services, and Editor-In-Chief at Innovative Science
Nov 27, 20251 min read


Case
Sneaky sneaky. Kaposi sarcoma in gastric mucosa. Case by Dr. Elizabeth Montgomery, Clinical Professor, Vice Chair of Faculty Development & Mentoring, Director of Surgical Pathology Fellowship Training Program, Co-Director, Pathology Reference Services, and Editor-In-Chief at Innovative Science Press. You can check out our titles at: www.innovativesciencepress.com info@innovativepathologypress.com 1-703-350-4308/703-340-3198
Nov 2, 20251 min read
bottom of page
