Case of the Week
- Elizabeth Montgomery, MD
- Apr 20
- 1 min read
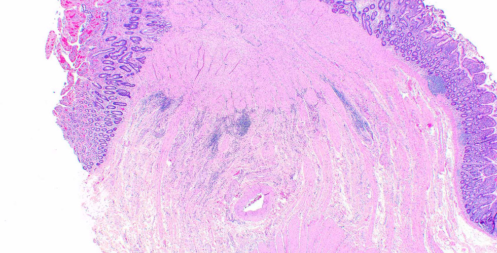
This lesion arose in the small intestine, resulting in obstruction and probably was related to use of non-steroidal anti-inflammatory drugs.
Cortina G, Wren S, Armstrong B, Lewin K, Fajardo L. Clinical and pathologic overlap in nonsteroidal anti-inflammatory drug-related small bowel diaphragm disease and the neuromuscular and vascular hamartoma of the small bowel. Am J Surg Pathol. 1999 Nov;23(11):1414-7. www.innovativsciencepress.com
Case by Dr. Elizabeth Montgomery, Clinical Professor, Vice Chair of Faculty Development & Mentoring, Director of Surgical Pathology Fellowship Training Program, Co-Director, Pathology Reference Services, and Editor-In-Chief at Innovative Science Press.
You can check out our titles at:
1-703-350-4308/703-340-3198













Comments