Please ensure Javascript is enabled for purposes of website accessibility
top of page
Search

Case

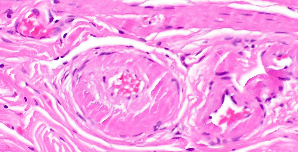
Amyloid is easy to overlook. In this case, it is in the gallbladder. www.innovativesciencepress.com








 
 
 

Recent Posts

See All

Comments


bottom of page