Sneaky Melanoma
- Elizabeth Montgomery, MD
- Dec 19, 2021
- 1 min read
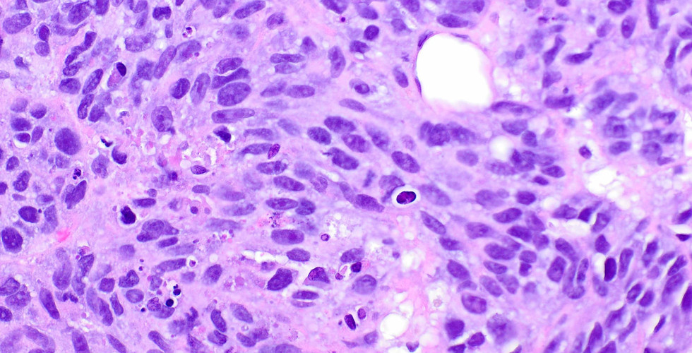
This sneaky melanoma presented in a manner that resulted in a clinical diagnosis of breast carcinoma. Melanoma is so awful.
Case provided by Dr. Elizabeth Montgomery, Professor of Pathology and Vice Chair of Anatomic Pathology at the University of Miami, and Editor-In-Chief at Innovative Science Press. You can check out her Soft Tissue and GI Survival Guides as well as our new titles at:
info@innovativepathologypress.com
1-703-350-4308/703-340-3198
Fax: 1-855-661-7331













With questions surrounding Mike Gundy, Kasey Dunn and the Cowboy offense after the past three games, the Cowboys started the first half off with a bang. Scoring 24 of the Cowboys 31 points in the game. The Cowboys did not score in the second half for the second straight week but still covered against the Wildcats from Little Manhattan, 31-20. Spencer Sanders played his best game of the year thus far. Throwing 34 times and completing 22 passes for 344 yards and two touchdowns. Additionally, Sanders ran for one touchdown to go with 18 rushing yards. But it wasn't just Sanders on the offensive end. Jaylen Warren had another solid game after his monster outing at Boise. The Ut…