DLBCL in Kidney
- Elizabeth Montgomery, MD
- Nov 29, 2021
- 1 min read
Updated: Dec 2, 2021
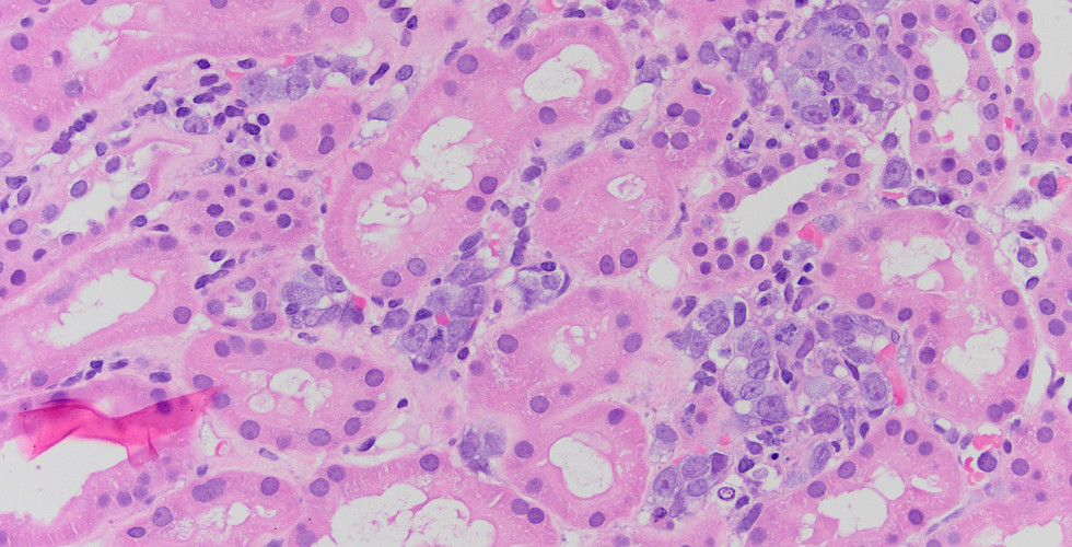
Another example of diffuse large B-cell lymphoma being sneaky--here in the kidney. A very atypical mitotic figure is noted in one image. This lesion was highly FDG-avid on CT/PET scan but was not mass-forming.
This case was provided by Dr. Genevieve Crane, Staff Hematopathologist at the Cleveland Clinic, Section Editor at Archives of Pathology and Laboratory Medicine, and Deputy-Editor-in-Chief at PathologyOutlines.com. She is also the main author of the Survival Guide to Lymph Node Pathology, published by Innovative Science Press.
Order now to take advantage of our Thanksgiving discounts. Promo code: Thanksgiving
Offer ends on November 30th!
info@innovativepathologypress.com
1-703-350-4308/703-340-3198
Fax: 1-855-661-7331









Mark Stone scored the tiebreaking goal on a power play in the third period and the Vegas Golden Knights beat the Minnesota Wild 6-4 on Sunday night.After struggling through a 4-for-31 stretch on power-play opportunities over their previous 11 games https://www.ukfootballprostore.com/Cade_Sams_Jersey-42, the Golden Knights were 2 for 4 against Minnesota, which went into the game ranked fifth with its penalty kill on the road. Vegas was 5 for 6 on its penalty kill.Vegas, which has struggled on special teams lately, killed off three successive penalties in the second period, including a 5 on 3, and carried a one-goal lead into the break.''Both special teams were great tonight,'' Vegas coach Peter DeBoer said. ''I think we talked about tryi…