Please ensure Javascript is enabled for purposes of website accessibility
top of page
Search

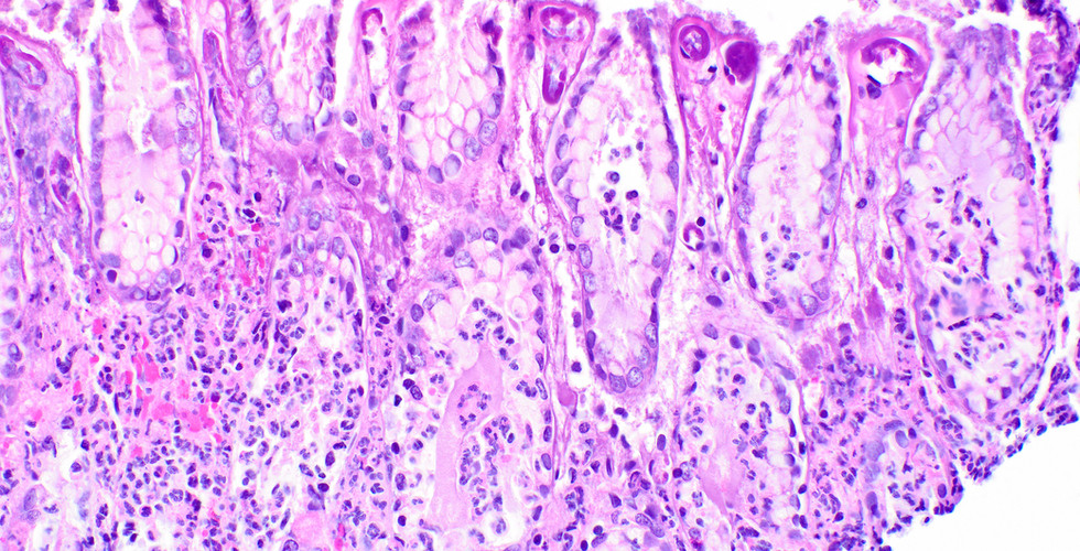
A gastric biopsy from a patient with dyspepsia and a history of acne.

Updated: Sep 14, 2020




Diagnosis: Injury of the type associated with doxycycline medication. Note the peculiar fibrinoid change in the tiny vessels beneath the surface.


Shih AR, Lauwers GY, Mattia A, Schaefer EA, Misdraji J. Vascular Injury Characterizes Doxycycline-induced Upper Gastrointestinal Tract Mucosal Injury. Am J Surg Pathol. 2017;41(3):374-381.

 
 
 

Recent Posts

See All

1 Comment


Gilda Zea Sanchez
Gilda Zea Sanchez
Sep 11, 2020

Muchas grscias

Like
bottom of page