Case
- Andres Matoso, MD
- Jun 13, 2021
- 1 min read
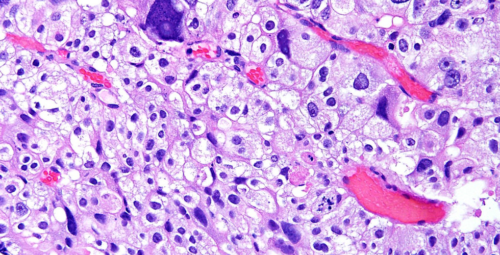
Prostatic carcinoma with pleomorphic giant cells is a rare and aggressive variant of prostate adenocarcinoma characterized by large pleomorphic cells with bizarre nuclear atypia. In needle biopsies, the pleomorphic giant cell component is usually focal and the associated adenocarcinoma is high-grade (Gleason score 9 or 10, Grade Group 5). Most patients whose samples show this finding have not had prior irradiation. The main differential diagnosis is with urothelial carcinoma with giant cells, which is a more common and better recognized entity. This beautiful image and discussion were provided by Dr. Andres Matoso. His book, Survival Guide to Prostate Pathology, created together with Dr. Jonathan Epstein, is wonderful - an easy to use "'scope-side" resource. Get yours at www.innovativesciencepress.com









Comments