Case of the Week
- Elizabeth Montgomery, MD
- Jun 23, 2023
- 1 min read
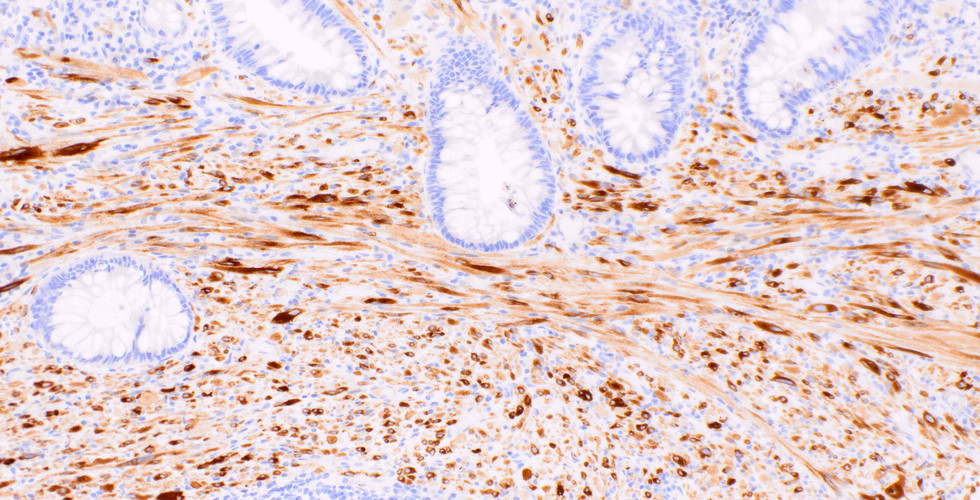
This inflammatory myofibroblastic tumor presented as a colon polyp. It is not clear whether it has extended from the mesentery or retroperitoneum - imaging would be indicated to assess for this. Note the prominent nucleoli (arrows).
Case provided by Dr. Elizabeth Montgomery, Clinical Professor, Vice Chair of Faculty Development & Mentoring, Director of Surgical Pathology Fellowship Training Program, Co-Director, Pathology Reference Services, and Editor-In-Chief at Innovative Science Press.
You can check out our titles at:
info@innovativepathologypress.com
1-703-350-4308/703-340-3198
Fax: 1-855-661-7331















Comments