Case of the Week
- Jonathan Epstein, MD
- Feb 9, 2021
- 1 min read
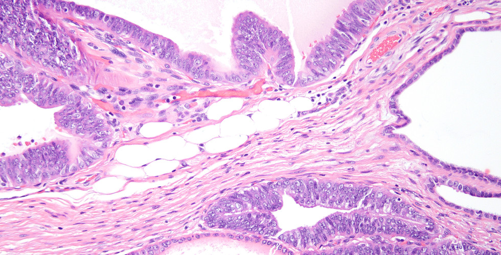
History: These images are from a radical prostatectomy specimen. What is your diagnosis?
Answer: PIN-like ductal adenocarcinoma extending far out of the prostate into periprostatic adipose tissue, negative for high molecular weight cytokeratin.
Comment: These tumors are variants of ductal adenocarcinoma since they have pseudostratified columnar cells and can co-mingle with usual papillary and cribriform ductal adenocarcinoma. Some authorities refer to them as PIN-like carcinoma since they have a similar prognosis to Gleason score 6 (Grade Group 1) acinar carcinoma (a better prognosis than historically considered ductal adenocarcinoma). This variant consists of simple, often cystically, dilated glands lined by pseudostratified columnar epithelium. The glandular lining is often flat, lacking the papillary or cribriform morphology initially described in ductal adenocarcinoma. As with other patterns of ductal adenocarcinoma, there can be a spectrum of cytological atypia, although typically PIN-like ductal adenocarcinoma lacks diffuse prominent nucleoli.
This case was provided by Dr. Jonathan I. Epstein, Professor of Pathology, Oncology and Urology at the Johns Hopkins School of Medicine and Director of Surgical Pathology at the Johns Hopkins Hospital. The Survival Guide to Prostate Pathology, which he and Dr. Matoso wrote, was recently released. You can order your copy at:
703-350-4308/703-340-3198













Comments